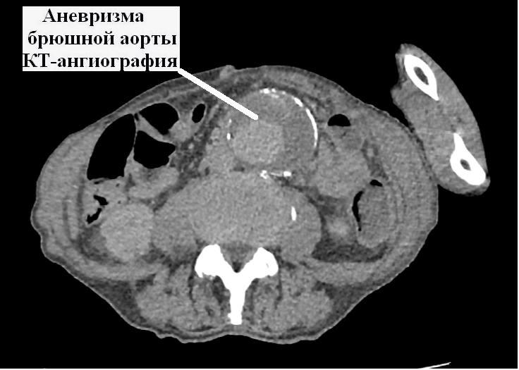
В Коломенскую больницу поступил 79-летний мужчина с выраженным болевым синдромом в животе. После проведения ультразвукового исследования, а затем компьютерной томографии с контрастным усилением врачи диагностировали аневризму брюшного отдела аорты. Патология представляет собой локальное расширение сосуда с постепенным истончением его стенки. У пациента ее диаметр превышал 10 см при нормальном диаметре аорты 18–22 мм.
Аневризма брюшной аорты – патология не редкая, но опасная тем, что долгое время никак себя не проявляет. Может дать о себе знать только на этапе осложнений – в период, когда близка к разрыву. Без своевременной медицинской помощи это может привести к летальному исходу.
«Из-за экстренности ситуации было принято решение о проведении открытого оперативного вмешательства. Мы использовали классический для данной операции доступ – лапаротомический – через разрез передней брюшной стенки. С помощью хирургических инструментов была выделена брюшная аорта в неизмененных участках – выше и ниже аневризмы, иссечена аневризма и проведено синтетическое протезирование брюшного отдела аорты. В общей сложности операция продолжалась около 4 часов», – рассказал заведующий отделением сердечно-сосудистой хирургии Коломенской больницы Александр Герасимов.
Несмотря на сопутствующие заболевания пациента, операция прошла успешно. Послеоперационный период протекал без осложнений. Сейчас мужчина чувствует себя хорошо и уже выписан домой. В дальнейшем ему необходимо будет наблюдаться у сердечно-сосудистого хирурга по месту жительства. Благодаря своевременно проведенной операции пациент смог отпраздновать свой 80-летний юбилей.
Специалисты напоминают, что регулярное прохождение профосмотра и диспансеризации позволяет выявить различные патологии на ранней стадии. Записаться на приём можно по телефону 122, через чат-бот Денис в Telegram или оставить заявку через региональный портал госуслуг «Здоровье» zdrav.mosreg.ru/.
Ранее глава Городского округа Коломна Александр Гречищев отметил, что с каждым годом правительство Московской области стремится повышать доступность как первичной, так и высокотехнологичной медицинской помощи для жителей Подмосковья. Это способствует национальный проект «Продолжительная и активная жизнь», инициатором которого выступил Президент Росси Владимир Путин.
© коломнаград.ру







